

Alzheimer's: Can exercise video games help keep it at bay?
- Mild cognitive impairment can involve cognitive struggles and can increase someone’s chances of developing dementia.
- Exergaming involves technology that requires physical activity and has possible cognitive benefits.
- One recent study found that serious exergaming may positively impact gray matter and white matter in the brain, and that these brain changes may be linked to cognitive improvements.
Read the Article: Video games that help you exercise may also keep the brain fit, study shows

Have State or DEA Requirements That Need To Be Met by the End of the Year?
Med-Challenger offers a State Required CME course that does just that!
✔️Includes many of the topics required by various states
✔️Satisfies the one-time 8 hour training requirements for DEA registered practitioners on the treatment and management of patients with opioid/substance use disorders
✔️50 AMA PRA Category 1 CreditsTM and ANCC Contact Hours built-in that are easy to earn and easy to claim...all in one place
✔️Over 400 board-style questions with detailed explanations
✔️Flexible monthly, annual, and lifetime subscription options available to meet any need or budget.
✔️Didactic content and quizzes with each topic
✔️Supplemental AI driven content throughout
Med-Challenger State Required CME

What Are People Missing on the Exams?
Med-Challenger offers a FREE Most Missed Exam Prep Questions Course.
This FREE course includes our most missed exam questions with remediation, and covers multiple specialties. You'll get test taking tricks, additional practice questions, case discussions, and more. Perfect for residents or anyone studying for an ITE or board exam.
It's FREE to sign up and FREE to use, so pass it on, https://fuse.challengercme.com/product/256

Give Yourself the Gift That Keeps on Giving
Do you have end of the year CME and MOC requirements to fulfill? Now through the end of the year save 15% on Med-Challenger products when you use promo code CMESAVE* at checkout!
Med-Challenger's got you covered in:
*Restrictions apply, discounts not available on all products

What is the Most Missed Exam Prep Question This Week?
We want to explore what is being missed on exams. That is why we have started our "most missed questions" series; to examine and report exactly which questions and question types are being missed most, why, and even hone in on some exam tricks to make test taking more successful. Take a look!
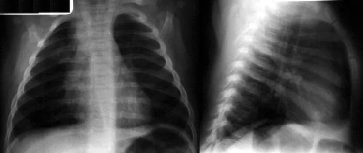
Most Missed Question in Pediatrics - Community-Acquired Pneumonia

Major Content Update in Emergency Medicine
Med-Challenger just completed a major content update to our Emergency Medicine Review course. Ten percent of our Emergency Medicine questions have been updated to better reflect the ABEM exam blueprint and current guidelines. While our course updates are continuous and ongoing, this is a big one!
Check it out: Med-Challenger Emergency Medicine with CME